
| 얼마나 오랜 기간 동안 난임이셨나요? | 1년 |
|---|---|
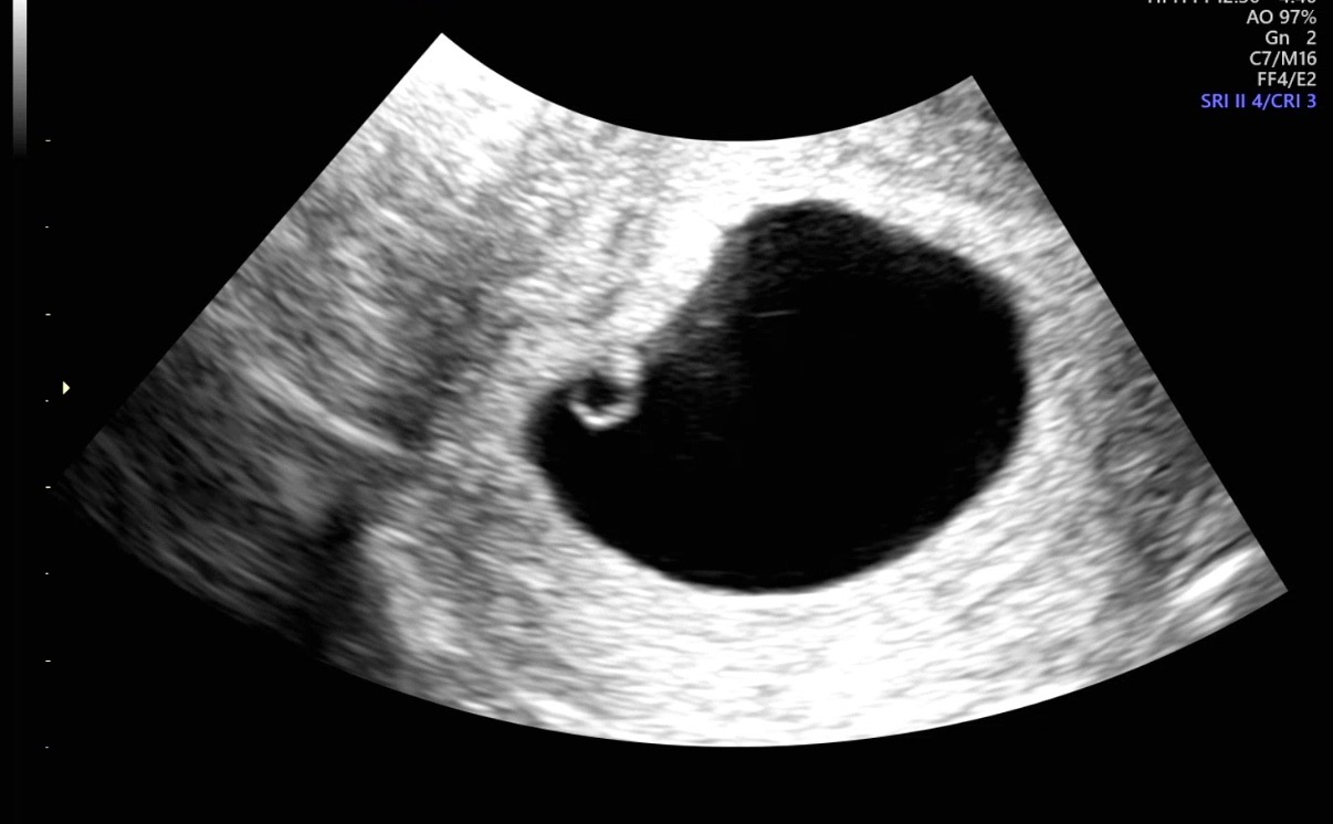
| 가슴 떨리는 임신 이야기를 공유해 주세요. | 자연임신을 6개월 시도하고, 배란유도제 복용과 난포 주사도 6개월 동안 진행했지만 매번 임신테스트기 한 줄을 보며 ‘내 인생에 아기는 없는 걸까’라는 생각까지 들었습니다. 하지만 서울아이비에프여성의원에서 포기하지 않고 치료를 이어간 끝에 저도 임신의 기쁨을 느낄 수 있었습니다. 시험관 시술 전에는 많이 두렵고 망설였지만, 막상 시작해보니 ‘왜 더 빨리 하지 않았을까’라는 생각이 들었습니다. 임신테스트기 두 줄, 아기집 확인, 심장 소리까지 아직도 실감이 나지 않을 만큼 새로운 감정을 경험하게 되었습니다. |
| 치료 도중 느꼈던 가장 기뻤던 순간과 절망적인 것들은 무엇인가요? 잊지 못할 경험이 있나요? | 가장 기뻤던 순간은 임신 확인 후 처음으로 심장 소리를 들었을 때입니다. 가장 힘들었던 순간은 호르몬 수치가 맞지 않아 시험관을 결심하고도 시술을 바로 시작하지 못했을 때였습니다. |
|---|
| 서울IVF여성의원의 난임 치료에 대해 말씀해 주실 것이 있나요? | 인공수정과 시험관 시술을 진행하면서 이예흔원장님과 의료진의 전문적이고 확신에 찬 설명 덕분에 믿고 치료를 이어갈 수 있었습니다. 또한 대기시간이 길지 않고 예약 시간에 맞춰 진료와 시술이 진행되어 직장인으로서 병원을 다니기에 매우 편리했습니다. |
|---|
| 난임 치료를 시작하고 있거나 아직 그 여행을 끝내지 못한 다른 분들에게 해줄 조언이 있을까요? | 시작 전에는 두려움이 크지만, 지나고 보면 더 빨리 시작하지 않은 것을 후회하게 될 수도 있습니다. 이예흔 원장님과 의료진을 믿고 따라가신다면 분명 좋은 결과를 만나실 수 있습니다. |
|---|
| 난임 기간 동안 도움을 받았던 것들 중 다른 난임환자분들 위해 나눌 것이 있나요? | 겨울에 시술을 진행하며 배를 따뜻하게 유지하고 수면양말을 착용했던 것이 도움이 되었고, 남편과 함께 헬스장을 등록해 꾸준히 운동했던 것도 도움이 되었다고 느꼈습니다. |
|---|

language
English
中國語