
| 얼마나 오랜 기간 동안 난임이셨나요? | 1년 |
|---|---|
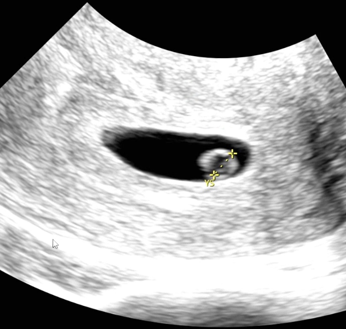
| 가슴 떨리는 임신 이야기를 공유해 주세요. | 초기라 설레는 마음과 함께 아직은 조심스러운 마음으로 하루하루를 보내고 있습니다. 이사로 인해 타 병원에서 인공수정 1차 시도 후 전원하게 되었고, 서울아이비에프에서 시험관 동결배아 이식을 통해 아기를 만나게 되어 매우 기쁜 마음입니다. 이유정원장님들과 간호사 선생님들, 그리고 실험실 배아 담당 선생님들까지 모두에게 감사한 마음입니다. |
| 치료 도중 느꼈던 가장 기뻤던 순간과 절망적인 것들은 무엇인가요? 잊지 못할 경험이 있나요? | 가장 기뻤던 순간은 동결 배아 이식 후 피검사를 앞두고 얼리 테스트기를 해봤을 때, 희미하게 보이던 두 줄을 확인한 순간이었습니다. 그 상태로 피검사를 기다리던 시간은 설렘으로 가득했고, 안정적인 피검사 수치를 확인했을 때는 또 한 번 안도의 기쁨을 느꼈습니다. 반면, 절망적이었던 순간은 치료 과정이 생각보다 쉽지 않음을 느꼈던 시기였습니다. 호르몬제를 투여하며 마음이 한없이 가라앉는 경험을 하게 되는데, 노력한 만큼 결과가 따라주지 않을 때는 실망감이 더욱 크게 느껴졌습니다. 마음관리 잘 해야지 생각하면서도 긍정적으로 생각하는게 쉽지 않았습니다. 그래도 끝이 있을거란 생각을 가지고 이유정원장님이 처방주시는대로 열심히 수행하니 좋은 결과를 받을 수 있었습니다. |
|---|
| 서울IVF여성의원의 난임 치료에 대해 말씀해 주실 것이 있나요? | 서울아이비에프 원장님들 모두 따뜻하고 정확한 진료를 해주셔서 마음이 놓였고, 진료 대기 시간도 길지 않아 병원 방문 자체가 한결 편안하게 느껴졌습니다. 모든 의료진의 친절한 응대 덕분에 치료 과정에 대한 부담이 줄어들었습니다. |
|---|
| 난임 치료를 시작하고 있거나 아직 그 여행을 끝내지 못한 다른 분들에게 해줄 조언이 있을까요? | 막연하고 막막한 길처럼 느껴져 지치고 힘든 순간이 많겠지만, 머리를 비우고 내가 할 수 있는 몫을 묵묵히 해내는 것이 이 시간을 지나가는 방법이라고 생각합니다. 긍정적인 마음을 유지하는 것이 쉽지 않지만, 끝이 있다는 믿음을 가지고 꾸준히 이어가셨으면 좋겠습니다. 난임 치료를 받고 계신 모든 분들을 응원합니다. |
|---|
| 난임 기간 동안 도움을 받았던 것들 중 다른 난임환자분들 위해 나눌 것이 있나요? | 대추차나 비트즙 등을 챙겨 먹어보기도 했지만, 결국 가장 중요한 것은 병원 진료를 성실히 받고 처방해주신 약을 잘 따르는 것이었습니다. 난임 관련 후기나 유튜브를 참고하는 것도 도움이 되지만, 때로는 멘탈에 영향을 줄 수 있어 균형을 유지하는 것이 중요하다고 느꼈습니다. 평소처럼 일상을 유지하며 스스로에게 “잘하고 있다”고 계속 말해주는 것이 큰 도움이 되었습니다. |
|---|

language
English
中國語